
典型病例介绍
人体衰老、遗传或外伤均可导致脑萎缩或小脑萎缩疾病,目前医学界许多方面认为是不可治疗改善或治愈的,更有人认为小脑萎缩是没有任何办法治疗的。我们通过临床研究验证:人的衰老和退行性疾病是可以改变的,只有通过合理的方法,是完全能够治愈的。
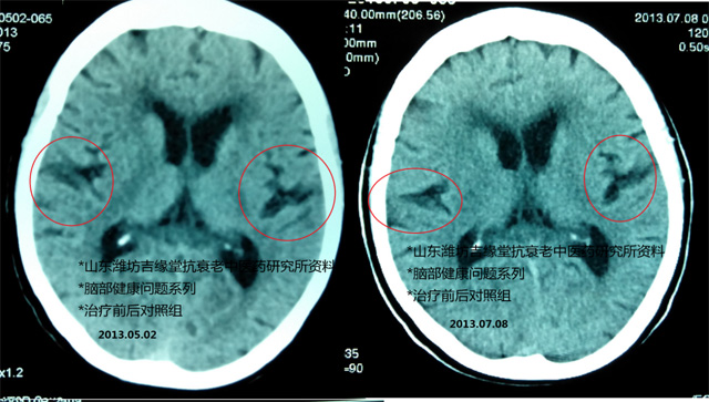
典型病例一:大脑萎缩
庄XX,女,67岁,退休干部。2013年5月2日就诊。
患者两年多来经常头晕不适,记忆力减退等,近两个多月来出现阵发性右侧上下肢活动不灵便,行走时有时摔倒,五天前行走时突然摔倒,今天上午出现右侧肢体活动不利并渐渐加重,右手指不能屈伸拿物,右下肢行走困难,在行走时出现不由自主渐渐加快步伐现象,当止步休息片刻后可继续行走,行走后又出现渐渐加快现象,行走时经常摔倒,记忆力明显下降,说话不流利,伴有失眠、腰部酸痛等,饮食一般,大小便正常。舌质紫少苔,脉弦滑。右侧霍氏综合征(+)、左侧霍氏征(+‐),右上肢肌力3级,右下肢肌力3-4级。即到人民医院做CT检查显示:可疑双侧基底节少许腔隙灶。双侧放射冠白质变性早期不除外。轻度脑萎缩。诊断为:1、脑萎缩。2、脑梗塞。3。帕金森病(初发期)。医生建议住院治疗,患者不愿住院治疗,要求中医治疗,接诊后,经检查分析诊断同上。根据以前其他病案治疗方法,对该患者完全用中药治疗,不用其他任何西药和针剂,密切观察病情变化,第二天患者感觉身体明显舒适,第三天病情开始好转,第五天症状明显减轻,头晕减轻,感右侧肢体活动明显有力等,第十天头晕消失,思维反应及记忆明显增强,行走明显灵活有力,仍有行走越走越快的现象,继续服中药胶囊治疗,第三十天头脑感觉思维快记忆力增强,右手握力基本正常,语言不清症状已均不明显,继续治疗第四十余天头晕消失,第五十六天,记忆力和思维反应都正常,语言流畅,右手握拳拿物正常,右下肢行走正常,行走时越走越快现象消失,自己生活及做家务等活动均正常,睡眠正常,饮食正常,大小便正常。至2013年7月8日是治疗的第56天,到人民医院做CT复查显示:于2013年5月2日CT片比较脑室增宽明显变小,大脑有了明显恢复和增长,疗效非常明显清楚。治疗结果:患者症状全部消失,为治愈。现近3年进行随访一切正常。
庄XX 治疗56天前后CT影像对比:

庄XX,2013年5月2日初诊,经治疗56天后,于2013年7月8日再做“CT”检查显示脑萎缩有明显改善情况,临床症状全部消失,治疗结果为治愈。
典型病例二:小脑萎缩
通过近期我们治疗的小脑萎缩典型病例,就可以再次证明,小脑萎缩是能够治疗和治愈的,纯中药治疗小脑萎缩2个月前后核磁共振影像(MR)对比资料。
简介如下:
患者:孙XX, 男,69岁,患小脑萎缩20余年。于2014年9月23日初诊,即到脑科医院做核磁共振(MRI)影像片检查显示(指小脑部位内容):“幕下小脑、脑干亦萎缩明显”。治疗方法给以配制纯中药胶囊口服,不使用其他任何西药、中成药、理疗、推拿等,只用本研究所辨证配制的纯中药胶囊,经调理治疗2个月后,于2014年11月29日到脑科医院再做核磁共振(MRI)进行复查,影像显示(指小脑部位内容):“幕下小脑未见异常信号”。经过治疗前后的两次核磁共振(MR)影像对比显示,纯中药治疗小脑萎缩是有明显的改变。指鼻试验等活动均正常。
另外:该患者同时患有多发性脑梗塞,在初诊2014年9月23日拍核磁共振(与小脑萎缩同一个片)拍片还显示有多发性脑梗塞,在治疗小脑萎缩的同时即两个月后,第二次2014年11月29日拍核磁共振(与小脑萎缩同一个片)拍片检查显示多发性脑梗塞消失,这也同时证明了纯中药治疗治愈脑梗塞的作用也是非常有效的。
如果有需要查看原始报告单或影像片,可以查看,到检查的脑科医院(报告单和影像片是真实的,有姓名、日期、编号、地址,也可以到吉缘堂研究所查实)。
在调养和治疗脑部疾病时没有发现任何副作用。
孙XX治疗前后核磁共振(MRI)原始报告单的照片如下:

治疗前: 孙荣X 2014年9月23日没有用药前,进行核磁共振(MRI)检查报告中检查所见:“幕下小脑、脑干亦萎缩明显”。
孙XX治疗后核磁共振报告单:

治疗后 孙XX 2014年11月29日用纯中药治疗2个月后,进行核磁共振(MRI)检查报告中检查所见:“幕下小脑未见异常信号”。
典型病例三:桥脑亚急性脑梗死
王XX 女 68岁 2014年3月27日接诊,患者有高血压多年,检查头晕、肢体麻木等,今天早上突然出现语言不利,行走活动不利等,先给以服中药后,立即等医院做核磁共振检查显示:桥脑亚急性脑梗死。继续用纯中药治疗(纯中药治疗不易留后遗症),治疗二个月后MR复查桥脑梗死及症状全部消失,无任何后遗症,现治愈后已2年多,没发现任何后遗症,身体状况正常。
王XX初诊疗时检查报告单:

王XX治疗27天复查检查报告单:

检查诊断:桥脑梗塞灶,较2014年3月27日好转。
王XX治疗二个月后检查报告单:

王XX的核磁共振检查显示:桥脑软化灶。桥脑梗死全部消失,治疗结果为治愈。
典型病例四: 治愈阿尔茨海默病(老年痴呆症)典型病例:
李XX,男,62岁,农民,山东烟台人,1996年12月21日初诊,患者儿子述:近三年来出现不爱说话,出现面无表情,不问不说话,忘事,从家外出后不能自己回家,家人经常到家外找人,晚上睡眠较少,近3个月明显病情加重,忘事加重,外出时家人必须近距离看护,对他人没有表情,小便有时失禁等。发病后,到多处医院诊治无好转。今来治疗。接诊后见患者面无表情,双目呆视,不爱说话等,饮食基本正常。舌体胖质淡苔微黄,脉弦细无力。分析:为机体受损,情志失调,神情呆滞。诊断为:痴呆症。治疗以调理心、肝、肾为主。用中药治疗,服药七天后表情改变,说话逐渐增多,十五天后精神明显好转,30天后出家门等记忆基本正常,两个月后症状消失,继续治疗一个月,共治疗三个月症状全部消失。一年后随访,患者记忆、在家内外劳动、与家人交流等一切正常,为治愈。于2014年4月13日再随访,患者已经80岁了,治愈十八年了,从未复发,仍能够外出劳动,打电话听力语言都非常好,身体非常健康。

2014年4月13日随访患者李先生时的照片
阿尔茨海默病(老年痴呆症)、脑萎缩的研究和治愈
阿尔茨海默病(老年痴呆症)能够治愈是贾学铭专家多年研究进行创新治疗的结果,通过临床治疗完全证明,纯中药调理政府“养脑醒神”是有效治愈阿尔茨海默病(老年痴呆症)的方法。
阿尔茨海默病(老年痴呆症),又称:痴呆症、老年认知障碍症、失智症等,属中医“呆病”、“癫症”、“善忘”的范畴。全球发病率每年都在上升。此疾病给患者及家人带来了极大的痛苦。
临床治疗:阿尔茨海默病(老年痴呆症)的治疗,全部用纯中药治疗,无副作用,不易复发。我们的研究创新应用于临床治疗进行调理脏腑、治疗大脑,使脑部记忆功能恢复,身体恢复健康是完全正确的治疗。治愈周期时间一般为为三至九个月。
大脑萎缩、小脑萎缩在用纯中药治疗三个月后都有明显的好转,随着治疗时间的延长会逐渐治愈。脑梗塞患者是用纯中药治疗消除梗塞非常理想。