杜先生阿尔茨海默症典型病例治愈简介: 2018年8月30日接诊。接诊地点:北京石景山八大处中西医结合医院贾学铭教授诊室。 患者:杜先生,男,80岁,经常头晕不舒10余年,近二年多病情加重,出现记忆障碍渐渐加重,对事情过后即忘,每天早上下楼买去3-4次买同一种报纸,买后放下过会又去买,别人让他不要买了,过后又去买回来了,对其他刚刚放下的物品回头即忘,对其他人的名字或数字经常记不清等,经北京多家大医院诊断为:阿尔茨海默症,经过多种方法治疗无效。从网上查到而来要求治疗,自带北京世纪坛医院核磁共振2018年8月29日片显示:脑萎缩(严重)。接诊后给以纯中药治疗4个多月,头晕不舒消失,记忆恢复正常,还能很正常的照顾他人,症状全部消失。2019年1月2日又到北京世纪坛医院作核磁共振片显示:脑萎缩与前片比较明显恢复。治疗结果:阿尔茨海默症完全治愈。以下是核磁共振片治疗前后的对比: 杜先生阿尔茨海默症治愈前后拍核磁共振片比较,要观察细节: 
2018年8月29日前见片治疗脑萎缩严重。病情严重。 2019年1月2日治疗后见片脑萎缩减轻。病情治愈。
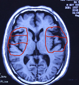
杜先生核磁共振片其中单图的治疗前后比较: 
2018年8月29日前见片治疗脑萎缩严重。病情严重。 2019年1月2日治疗后见片脑萎缩减轻。病情治愈。 脑组织逆生长的情况见左右两个图内红圈相对等部位的比较,圈内白色的部分是脑组织,圈内黑色的部分是没有脑组织了是萎缩后空缺的现象,黑色越多脑萎缩越严重,白色越多脑组织越多,脑组织多了,就是改变了脑萎缩,就是脑组织逆生长,因此,通过中药使脑组织逆生长就消除了和治愈了脑部的疑难病。该患者的阿尔茨海默症通过纯中药达到了脑组织逆生长,患者的记忆障碍就正常了,病情就治愈了。 实践证明阿尔阿尔茨海默症的发病,不仅是现代医学认为的海马体萎缩的问题,是脑部整体出现了问题,也不是不可治愈的疾病,是能够治愈的。我们经过几十年的研究探讨创新,用纯中药治愈阿尔茨海默症是科学的真实有效的,是现实的!只要是脑组织逆生长,阿尔茨海默症就必然能够治愈。
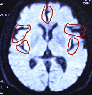
杜先生核磁共振片其中单图的治疗前后比较: 
2018年8月29日前见片治疗脑萎缩严重。病情严重。 2019年1月2日治疗后见片脑萎缩减轻。病情治愈。 脑组织逆生长的情况见左右两个图内红圈相对等部位的比较,圈内白色的部分是脑组织,圈内黑色的部分是没有脑组织了是萎缩后空缺的现象,黑色越多脑萎缩越严重,白色越多脑组织越多,脑组织多了,就是改变了脑萎缩,就是脑组织逆生长,因此,通过中药使脑组织逆生长就消除了和治愈了脑部的疑难病。该患者的阿尔茨海默症通过纯中药达到了脑组织逆生长,患者的记忆障碍就正常了,病情就治愈了。 实践证明阿尔阿尔茨海默症的发病,不仅是现代医学认为的海马体萎缩的问题,是脑部整体出现了问题,也不是不可治愈的疾病,是能够治愈的。我们经过几十年的研究探讨创新,用纯中药治愈阿尔茨海默症是科学的真实有效的! |